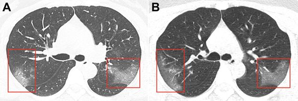
De acordo com a revista Radiology, a mulher trabalhava na cidade de Wuhan, o epicentro da epidemia. Seis dias antes de ser hospitalizada, ela tinha ido à cidade de Lanzhou. No momento da hospitalização, a paciente tinha temperatura elevada e problemas respiratórios.

Com base nas caraterísticas epidemiológicas, sintomas clínicos e resultados da tomografia, foi diagnosticada com pneumonia do tipo 2019-nCoV. Após três dias de tratamento, a área afetada dos pulmões aumentou (foto B).
Até agora, na China já foram infetadas cerca de 14.400 pessoas com o novo tipo de coronavírus, das quais 304 morreram. Cerca de mais 100 pessoas registraram sintomas do vírus em vários países. A Organização Mundial da Saúde constatou o surto como a situação de emergência internacional.

