Três múmias, provenientes do sítio arqueológico de Saqqara, antiga necrópole egípcia, são de um homem, uma mulher e uma adolescente. Foram enterradas no período romano tardio (de 30 a.C. a 395 d.C.), de acordo com estudo publicado na revista científica Plos One.
Ao contrário de outras múmias, que foram enterradas em sarcófagos, estas foram colocadas em pranchas de madeira, enroladas em tecido e sudário e decoradas com gesso tridimensional, ouro e retratos de corpo inteiro, de acordo com a diretora da pesquisa Stephanie Zesch, antropóloga e egiptóloga do Projeto de Múmias Alemãs no Museu Reiss Engelhorn, Mannheim, Alemanha.

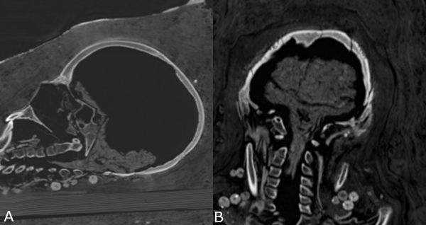
Agora, tomografia computorizada revelou que ao menos uma das três múmias foi enterrada com os órgãos (até o cérebro) e que as duas mulheres foram enterradas com belos colares, encontrados pelos pesquisadores.

Além disso, tomografia computorizada mostrou que depois da morte dessas pessoas, suas múmias foram enterradas com artefatos que podiam ser úteis na vida após a morte, inclusive moedas.
"Devido a esses sudários preciosos, temos certeza de que esses indivíduos eram membros de uma classe socioeconômica superior" por terem dinheiro para joias, ponderou Zesch.
A análise da tomografia computadorizada revelou vários problemas de saúde, inclusive artrite sofrida pela mulher.

"O exame dos indivíduos resultou que eles morreram bem jovens [...]. No entanto, a causa da morte dos indivíduos não poderia ser determinada", comentou Zesch em entrevista ao site Live Science.

As múmias, depois de passarem por vários donos, acabaram nas Coleções de Arte de Dresden, na Alemanha, onde foram submetidas a raios-X no fim dos anos 80. No entanto, tomografia computadorizada revelou muito mais sobre o interior das múmias.


