Na quinta-feira (22), funcionários da saúde nos EUA anunciaram a existência de um fungo incurável, que se propagou em um asilo e dois hospitais, em Washington e Dallas, respectivamente.
Um grupo de pacientes apresentavam infecções fúngicas invasivas que eram resistentes às três principais classes de medicamentos usados nestes casos, segundo a agência de notícias AP.
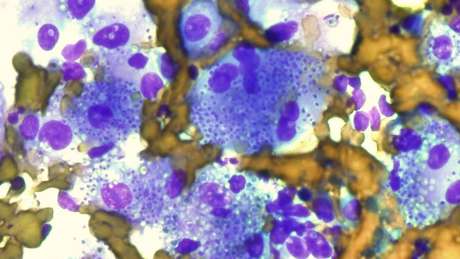
Os Centros de Controle e Prevenção de Doenças (CDC, na sigla em inglês) dos EUA descrevem o fungo como Candida auris, que causa infecções graves e que se propaga nos centros hospitalares.
O fungo resiste aos medicamentos e é considerado perigoso para os pacientes de hospitais e asilos com problemas médicos graves. Além disso, é mais mortal quando ingressa na corrente sanguínea, no coração ou no cérebro.
"Esta é realmente a primeira vez que começamos a ver grupos de resistência" onde os pacientes parecem contrair infecções entre si, observou a doutora Meghan Lyman, dos CDC.
A partir de 2009, quando o fungo foi descoberto, os funcionários da saúde entraram em alerta máximo ao ver infecções em que os medicamentos de uso comum tinham pouco efeito, enquanto a quantidade de casos tem aumentado rapidamente.
Enquanto isso, em Nova York, em 2019, foram diagnosticados três casos similares, resistentes a uma classe de medicamentos chamada equinocandinas.
No entanto, não houve evidência de que as infecções foram propagadas de um paciente para outro. Sendo assim, os cientistas concluíram que a resistência aos medicamentos surgiu durante o tratamento.

Perante as recentes preocupações, em Washington, um grupo de 101 casos de Candida auris registrados em um asilo, dedicado a pacientes em estado grave, incluiu três casos resistentes aos três tipos de medicamentos antifúngicos.
Além disso, em dois hospitais de Dallas, em um grupo de 22 casos, dois mostraram resistência. Destas cinco pessoas, reportadas desde janeiro até abril, três morreram.
Lyman informou que ambos são surtos em curso e que foram identificadas infecções adicionais desde então, no entanto, estes números não foram informados.
De acordo com os pesquisadores, nos registros médicos não foram encontradas evidências de uso prévio de antifúngicos entre os pacientes destes grupos, e por isso, sugeriram que o fungo foi transmitido de pessoa para pessoa.

